Bajsza
Wszelkie
podobieństwa do osób, zdarzeń, miejsc, które mogą zaistnieć są zupełnie
przypadkowe. Hi, hi
30
października 2018 r
~~~~~~~~~~~~~
Wczoraj mimo paskudnej pogody pojechałam autobusem do przychodni
po płytę z wynikiem prześwietlenia.
Czułam, że nie dadzą mi jej od ręki, zatem dzisiaj muszę jechać
odebrać ją.
Sama jestem ciekawa, by ją zobaczyć. Z tymi prześwietleniami
płuc to mam chocki klocki już od ponad 20 lat.
Kiedyś zrobili mi prześwietlenie to było jeszcze przed wyjazdem
Agi za granicę, czyli ok. 20 może 24 lat wstecz.
Zadzwonili do mnie przed odbiorem wyniku, że mam się zgłosić
ponownie na prześwietlenie, bo coś jest nie tak.
Okazało się, że prześwietlenie wykazało guz wielkości pięści
właśnie w tym prawym płucu.
Gdy przyjechałam już było konsylium lekarzy, wstawili mnie
ponownie pod rentgena, nie wiem czy robili mi zdjęcia, ale obracali mnie w
prawo i lewo przez dobre kilka minut. Wściekłam się, powiedziałam, że wychodzę.
Lekarze byli zdziwieni, bo w miejscu sfotografowanego guza nic
nie znaleźli.
Od tamtego czasu, miałam problem z prawym barkiem. Kilka lat
później, gdy wybierałam się do Agi na 3 miesiące do Grecji, zdecydowałam się
zrobić wszystkie badania w tym prześwietlenie płuc.
Chodziło o to bym nie miała w Grecji kłopotów ze zdrowiem.
Prześwietlenie zrobiłam w Poliklinice w Łodzi, bo już do naszego szpitala nie
miałam zaufania. Po wynik pojechałam zdaje się za 4 dni. Okazało się…, że moje
prześwietlenie zginęło i wyniku nie ma.
Jednak jak chcę mogą mi zrobić 2 raz. Nie chciałam, ale wydało
mi się podejrzane, że tylko płyta z moim prześwietleniem zginęła.
Później robili mi znowu prześwietlenie jak zdiagnozowali u mnie
cukrzycę i leżałam w szpitalu.
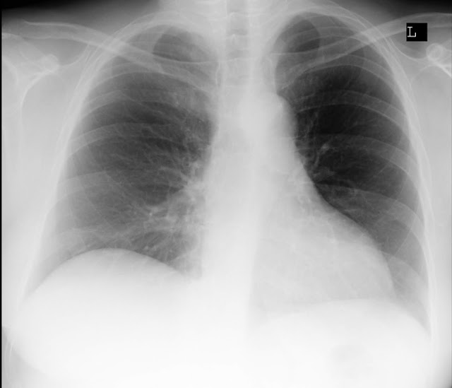
Opisany wynik prześwietlenia nie wskazywał na żadne zmiany w
płucach to był 2011r.
W tamtym też mniej więcej czasie rzuciłam palenie.
3 lata temu miałam kolejne prześwietlenie tym razem z płytą.
Okazało się, że nie mam zmian w płucach.
Nie ukrywam, że jestem trochę zaniepokojona i bardzo ciekawa
zdjęcia moich płuc.
Opisowy wynik jest już niepokojący „Pole płucne bez uchwytnych
zmian ogniskowych. Prawa wnęka zaznaczona naczyniowo. Przepona i kąty wolne;
Prawa kopuła wyżej ustawiona. Sylwetka serca w granicach normy”.
Gdybym nie miała kłopotów z tym kaszlem i krótkim oddechem,
który powoduje szybsze męczenie się, uznałabym, że wszystko jest ok.
Niestety ja od lat czuję, że tę prawą stronę ciała mam jakąś
felerną.
Po prawej ponad 30 lat temu miałam usunięty guz ze ślinianki.
Nie był złośliwy i wszystko tam jest ok. Od kilkunastu lat z różnym nasileniem
boli mnie prawy bark. Od kilkunastu lat mam kłopoty z prawą stopą, czuję jakbym
ją słabiej czuła. Szczególnie w kąpieli, gdy się rozgrzeję prawie mi drętwieje.
Wreszcie od kilku lat czuję dokuczliwe ciśnięcie w okolicach wątroby.
Zawsze miałam super zdrowie, uprawiałam gimnastykę, koszykówkę,
la, grałam w tenisa ziemnego i stołowego, jeździłam na nartach, na koniach, byłam
instruktorem narciarskim. Jeździłam na łyżwach i rolkach a do dzisiaj jeżdżę na
rowerze.
Nigdy nie miałam kłopotów ruchowych.
Jedyne, co to wiele lat temu wrzody, ale je wyleczyłam.
Rozumiem, że wiek powoduje tzw. zużycie materiału, ale ciężko mi pogodzić się z
tym, że ciągle mnie coś boli.
Może inni też tak mają tylko w młodości też mieli przemijające
kłopoty zdrowotne.
Ja ich nie miałam i trudno mi się przyzwyczaić do tego, że tak,
być już musi.
Przywiozę płytę to zobaczymy jak to wygląda. Mam nadzieję, że
się nie zgubiła.
Pojechałam i co mnie podkusiło, żeby jechać rowerem – nie wiem.
Słoneczko cudne temperatura 19 st. C – pojechałam. 150 m od domu zobaczyłam
ciemne chmury na niebie. Mogłam jeszcze wrócić. Ach ileż to razy były ciemne
chmury i rozeszły się. Płytę odebrałam, ale pod przychodnią zaczęło już kropić.
Deszczyk taki kapuśniaczek założyłam na wszelki wypadek pelerynę i wracam.
Matko droga – jak zaczęło lać. Obłęd. Plecak i część kurtki miałam pod peleryną,
ale spodnie i buty nie. Grzywka wyszła spod kaptura i mokre strąki wchodziły mi
w oczy. Czekałam tylko na grad, ale krople deszczu były jak grad. Gdy
przyjechałam do domu byłam od dołu definitywnie mokra. Teraz piję kawę z rumem
i mam nadzieję, że nic się z tego zamoknięcia nie wykluje.
Trzeba by tę płytę obejrzeć.
Zobaczymy co powie lekarz.







